Doctor in citi

Select Your Zone

Dentist in Ashok Vihar, Delhi - Dr. Aman Arora

Orthodontist in Ashok Vihar, Delhi Doctor in citi

Dr. Aman Arora

B.D.S., M.D.S (Prosthodontics)

DENTIST
Dr. Dimple Arora
B.D.S., F.A.G.E
(Oro- Dental Surgeon)
  • Practicing Since: 1997

Services

    • Laser Dentistry
    • One Hour Bleaching
    • Dental Implants
    • Invisible Braces
    • Root Canal Treatment
    • Smile Design
    • Cosmetic Ceramic Fillings
    • Missing Tooth treatment
    • Cleaning & Polishing
    • Teeth Whitening
    • Dentures

Aroras Dental clinic Ashok Vihar

A-10, Ashok Vihar-2, North Delhi- 110052.
Landmark: Near Invitation Restaurant.

Note: 011-79674314 to call between :
10am - 1pm
5pm - 8 pm
Except Sundays.
Phone No. : Click Here 352 views
Morning - Afternoon
Mon,Tue,Wed,Thu,Fri,Sat
10:00 AM - 01:00 PM
Evening
Mon,Tue,Wed,Thu,Fri,Sat
05:00 PM - 09:00 PM

Dental Clinic in Ashok Vihar, Delhi

If you are looking for a trusted Dentist in Ashok Vihar, Arora’s Dental Clinic has been providing advanced and patient-focused dental care since 1997. Known as a reliable Dental Clinic in Ashok Vihar, Delhi, the clinic is led by a team of experienced dental specialists including Dr. Aman Arora (Prosthodontist & Implantologist), Dr. Dimple Arora (Cosmetic Dental Surgeon and Dr. Hrithik Arora (Endodontist).

With a commitment to modern dentistry, hygiene, and personalized care, Arora’s Dental Clinic has earned a reputation as one of the Best Dentists in Ashok Vihar for comprehensive dental treatments for patients of all age groups. The clinic combines decades of clinical experience with advanced dental technology to ensure comfortable, safe, and effective treatments.

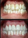
Teeth Whitening Zoom Treatment Available At Arora's Dental Clinic Ashok Vihar, Delhi


Patients from Ashok Vihar Phase 1, Phase 2, Phase 3, Wazirpur and nearby areas regularly visit the Arora’s Dental Clinic for high quality dental services.

Why We Rated As Best Dentist In Ashok Vihar?

• Experienced dental specialists with decades of clinical expertise.

• Advanced dental technology and modern treatment techniques
Strict sterilization and hygiene protocols.

• Personalized treatment planning for every patient.

• Comfortable and painless dental procedures.
The clinic focuses not only on treating dental problems but also on preventive dental care, helping patients maintain healthy teeth and gums for years.

Dental Treatments Available at Arora’s Dental Clinic in Ashok Vihar

As a leading Dental Clinic in Ashok Vihar, Delhi, the clinic offers a wide range of advanced dental treatments under one roof.

• Dental Implants in Ashok Vihar:
Dental implants are one of the most effective solutions for replacing missing teeth. Dr. Aman Arora specializes in implant dentistry and provides long-lasting, natural-looking dental implants that restore both function and aesthetics.

• Root Canal Treatment in Ashok Vihar
Patients suffering from severe tooth pain or infection can benefit from advanced single visit root canal treatment performed by Dr. Hrithik Arora. The procedure helps save damaged teeth while eliminating infection and pain.

• Smile Designing in Ashok Vihar:
For patients looking to improve their smile, smile designing treatments combine multiple cosmetic procedures to enhance the appearance of teeth and gums.

• Teeth Whitening in Ashok Vihar:
Professional Zoom Teeth Whitening treatments are available at the clinic to brighten stained or discolored teeth. This treatment can significantly improve the appearance of your smile in just one session.

• Metal Free Crowns and Bridges:
The clinic offers aesthetic metal free crowns and bridges that restore damaged teeth while maintaining a natural appearance.

• Dentures and Full Mouth Rehabilitation:
Patients with multiple missing or damaged teeth can benefit from advanced denture solutions and full mouth rehabilitation treatments designed to restore complete oral function.
Experienced Dentists in Ashok Vihar
The strength of Arora’s Dental Clinic lies in its team of experienced specialists.

• Dr. Aman Arora - Prosthodontist & Implantologist
With decades of experience in advanced restorative dentistry, Dr. Aman Arora provides expert care for dental implants, crowns, bridges, and full mouth rehabilitation.

Dr. Dimple Arora - Cosmetic Dental Surgeon
She specializes in aesthetic dental treatments and smile enhancement procedures.
Cosmetic Dentistry in Ashok Vihar by Dr. Dimple Arora:
Dr. Dimple Arora is known for her expertise in cosmetic dentistry in Ashok Vihar. She focuses on enhancing the natural beauty of patients’ smiles through modern cosmetic dental treatments.
Some popular cosmetic treatments include:
• Tooth-colored fillings
• Teeth whitening
• Smile designing
• Cosmetic dental restorations
These treatments help patients achieve a confident and attractive smile while maintaining the health of their natural teeth.

Dr. Hrithik Arora - Endodontist
Dr. Hrithik Arora focuses on advanced root canal treatments and the management of complex dental infections.

Together, this team ensures that patients receive comprehensive dental care from experienced professionals.

Teaching Experiences

  • Dr. Aman Arora is an academician & has teaching experience as well. He was a professor and head of Department of Prosthodontics in a Dental Institute.

Membership's

  • Dr. Aman Arora has ample experience to be qualified as the best in the business. He has obtained lifetime memberships of various dental societies like Indian Prosthodontic Society,Academy of Oral Implantology, Indian Dental Association etc.

Articles/Books/Thesis

  • Dr. Aman Arora is an ardent reader and writer which is why he has published various articles in national & international dental journals. In addition, he keeps himself occupied with latest information about the dental world when not attending patients. He is determinedly involved in dental research and even reviewed articles in dental journals.

Frequently Asked Questions (FAQ) :

Who is the best dentist in Ashok Vihar, Delhi?

Dr. Aman Arora and Dr. Dimple Arora at Arora's Dental Clinic are among the most trusted dentists in Ashok Vihar, known for advanced treatments and personalized patient care.

Which is the best dental clinic in Ashok Vihar for implants and smile design?

Arora's Dental Clinic in Ashok Vihar offers advanced dental implants, smile designing with veneers, and full mouth rehabilitation using modern technology.

What treatments are available at a dental clinic in Ashok Vihar?

A leading dental clinic in Ashok Vihar provides services like root canal treatment, dental implants, crowns & bridges, teeth whitening, dentures, and cosmetic dentistry.

Is single visit root canal treatment available in Ashok Vihar?

Yes, experienced dentists in Ashok Vihar, including at Arora's Dental Clinic, offer single visit root canal treatments for quick and effective relief.
Verified Profile

Dr. Aman Arora is featured as a Verified Dentist in Ashok Vihar on "Doctors in Citi" Healthcare Portal.

Dentist Near Ashok Vihar

ARTICLES FOR VISITORS BY SPL. DOCTORS

LATEST UPDATES